Knee Replacement
Knee Replacement

Total Knee Replacement
Knee replacement, commonly known as knee arthroplasty or a total knee replacement, is an operation to repair an arthritis-damaged knee. The kneecap and the caps on the ends of the bones that make up the knee joint are made of metal and plastic.

Partial/Unicondylar/Patello-Femoral
A surgical option for people with knee arthritis that is limited to the patellofemoral compartment anterior aspect of the knee is patellofemoral joint replacement, a type of partial knee replacement (also known as unicompartmental knee replacement).

Computer Assisted/Navigated
Surgical navigation is the term used to describe the actual intervention in computer-assisted surgery. The surgeon utilises specialised tools that the navigation system tracks while using the surgical navigation system.

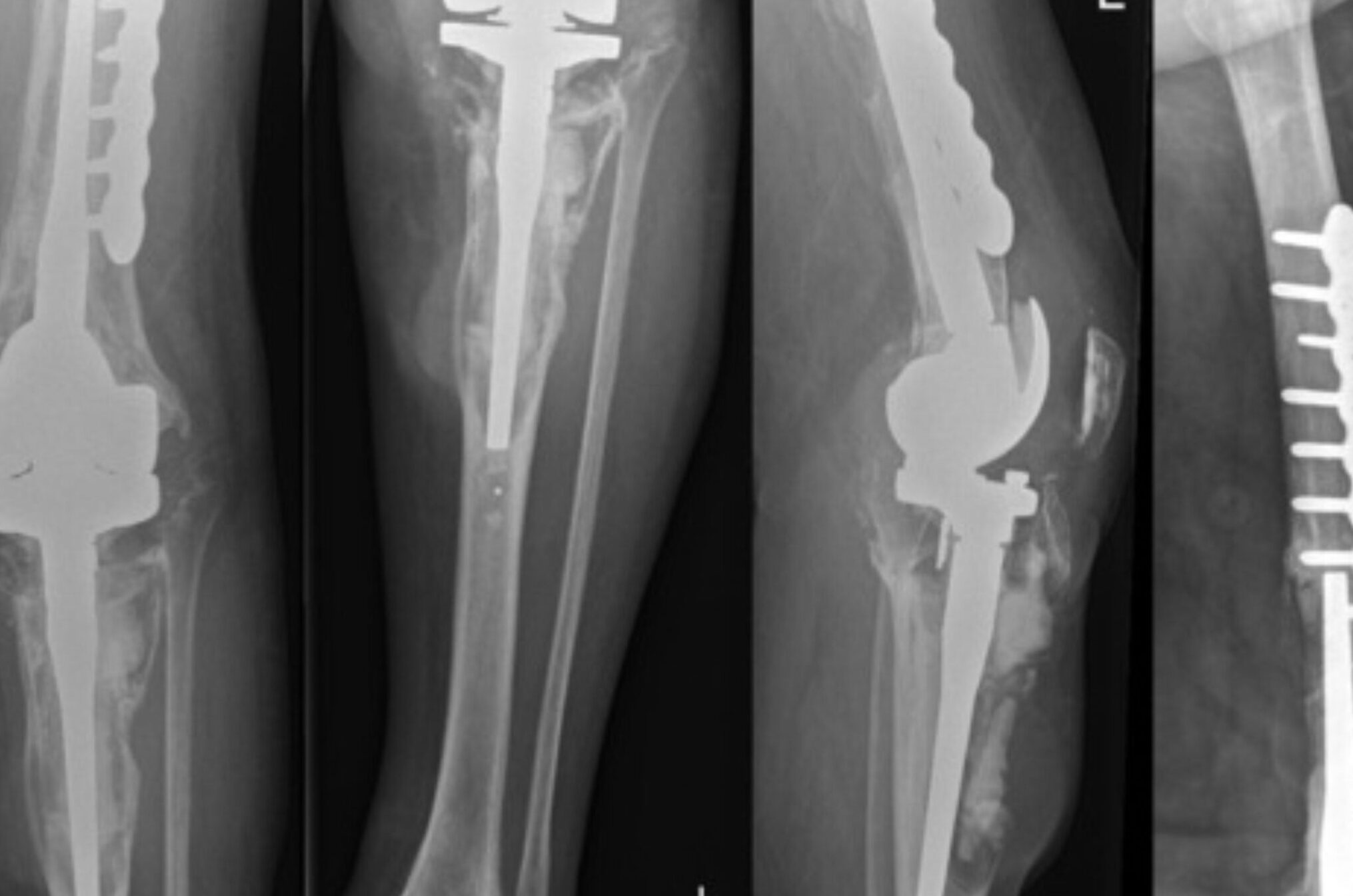
Revision for Aseptic Loosening/Infection
Aseptic loosening is the term for joint prosthetic failure that doesn't have a mechanical or infectious origin. Osteolysis (bone resorption) and an inflammatory cellular reaction within the joint are frequently linked to it.

Minimally Invasive
A smaller incision—typically 4 to 6 inches as opposed to 8 to 10 inches for standard knee replacement—is used during minimally invasive knee replacement. Less disruption of the tissue is possible with a smaller incision.

Evaluation of Painful Knee Post Knee Replacement
A complete clinical examination and pertinent investigations are necessary for the evaluation of patients with painful total knee replacement in order to make a diagnosis. .